Die technischen Fortschritte bei der Entwicklung neuer Ultraschallgeräte (hochfrequente Ultrabreitband-Linearschallköpfe, Matrixsonden, Verfahren zur Beurteilung der Mikrovaskularisation) sowie Verbesserungen bei der Darstellung von Punktionsnadeln haben in den Gebietender Neurologie, Schmerztherapie, Unfallchirurgie/Orthopädie und Anästhesiologie in den letzten Jahren die Anwendungsbereiche der hochfrequenten Sonographie erheblich erweitert. Unser Anwenderseminar, welches zum 5. Mal ausgerichtet wird, soll interdisziplinär in den oben […]
Autor: Firma Canon Medical Systems
Dorina Petersen In der täglichen Routine hat man wenig Zeit, sich lange mit den Bildern zu beschäftigen, die man anfertigt. Dennoch soll man auf bestimmte Erkrankungen richtig reagieren und die Protokolle anpassen. MTR´s sind keine Ärzte, dennoch gibt es ein Krankheiten, die eindeutige Bildmerkmale zeigen. In diesem Webinar werden eine Reihe solche Erkrankungen gezeigt. Woran
Professor Dr. med. Marc Brockmann WEITERENTWICKLUNGEN VON KOPF BIS FUSS BEIM VC Oberstarzt Dr. med. Stephan Waldeck DEEP-LEARNING-REKONSTRUKTION IN DER NEURORADIOLOGIE Die CT ist ein essentielles Routine-Verfahren in der Neuroradiologie. Bei steigender Bildqualität konnte die Röntgendosis mit neuen Technologien in der letzten Dekade deutlich gesenkt werden, was für die zielgerichtete und möglichst schonende Behandlung von
DEEP-Learning-Rekonstruktion in der Neuroradiologie (Webinar | Online)Read More »
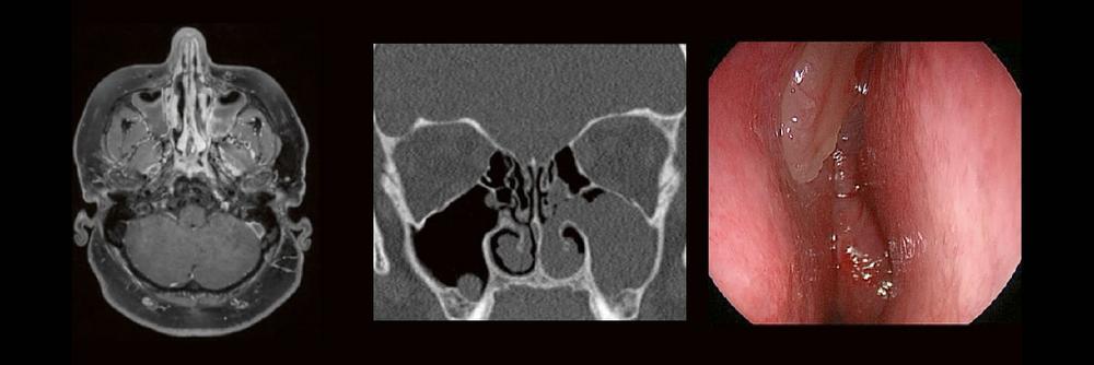
Dr. med. André ReisbergDr. med Sebastian Plößl Die bildgebende HNO-Diagnostik macht es Anfängern nicht leicht. Die Anatomie ist komplex und weniger intuitiv als in anderen Körperregionen. Normvarianten erschweren insbesondere in den Nasennebenhöhlen den Lernprozess. Sobald pathophysiologische Zusammenhänge verstanden und wichtige klinische Aspekte verinnerlicht wurden, gelingt es einen praxistauglichen, belastbaren Befund zu erstellen. Wo muss ich
HNO & Radiologie: gemeinsam durch die NNH – ein Joint Venture (Webinar | Online)Read More »
Professor Dr. med. Matthias PumbergerPD Dr. med. Torsten Diekhoff Die Dual-Energy-Computertomographie (DECT) hat für viele klinische Anwendungen bereits Einzug in die Praxis genommen. Für die Behandlung von Wirbelsäulenerkrankungen sind besonders die Darstellung von Knochenmarkveränderungen (z. B. bei osteoporotischen Frakturen) und der Bandscheibe (z. B. bei Bandscheibenvorfällen) interessant und werden intensiv beforscht. Hierdurch versprechen wir uns
Dual-Energy CT der Wirbelsäule: Technik und klinische Praxis (Webinar | Online)Read More »
Professor Dr. med. Michael Knauth Das Treffen moralischer Entscheidungen erfordert – wie jede andere Hirnleistung auch – das Zusammenwirken verschiedener Hirnareale. Der Vortrag nimmt auf eine interaktive Reise durch die Mehrzügeligkeit moralischer Entscheidungen (emotional vs. utilitaristisch) und gängiger moralischer Dilemmata (Trolley-Problem) und führt schließlich zu den mit dem Treffen dieser Entscheidungen befassten Hirnregionen und zu
Outside the box-Vortrag: die Neuroradiologie der Moral (Webinar | Online)Read More »
Dr. med. Urspeter Knecht Die MR-Spektroskopie – eine oft unterschätze Untersuchungsmethode – kann im Rahmen eines molekularen Fingerprints ein Game Changer sein in der neuroradiologischen Bildgebung. Eine Zusammenstellung von Hintergründen, Pitfalls, Aha-Erlebnissen, Nutzen und Risiken – Teil 2 Eventdatum: Mittwoch, 22. November 2023 17:00 – 18:00 Eventort: Online Firmenkontakt und Herausgeber der Eventbeschreibung: Canon Medical
Alex Riemer Moderne CT-Scanner unterstützen die Anwenderinnen und Anwender bei der Durchführung der meisten CT-Untersuchungen. Hierzu zählt auch das automatische Erstellen von streng coronalen und sagittalen Multiplanaren Reformatierungen (MPR´s). Es gibt jedoch CT-Untersuchungen, bei denen die MPR´s individuell an die Anatomie angepasst werden müssen. Doch gerade bei diesen Bildnachverarbeitungen gibt es oft Unsicherheiten darüber, worauf
Bildnachverarbeitung in der CT (Webinar | Online)Read More »
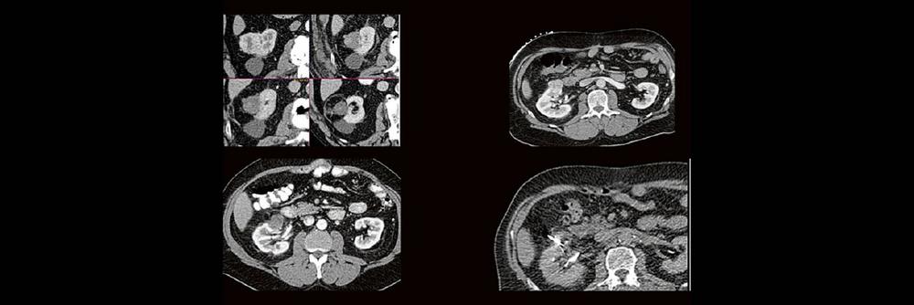
Dr. med. Sascha Alexander Pietruschka Die Anwendung von ablativen Verfahren hat sich in der klinischen Praxis etabliert. Nierentumoren bieten sich für den Einsatz von RFA und Mikrowelle an. Im Dietrich Bonhoeffer Klinikum Neubrandenburg blicken wir auf 15 Jahre Erfahrung mit mehr als 100 RFA/Mikrowellenablationen von Nierentumoren zurück. Im Vortrag werden die eigenen Erfahrungen und Ergebnisse
Thermoablation von Nierentumoren (Webinar | Online)Read More »
Jan Hendrik Falkenstein Künstliche Intelligenz spielt in der klinischen Anwendung eine immer größer werdende Rolle. Im radiologischen Sektor erfährt besonders die Magnetresonanztomographie aktuell einen regelrechten KI-Hype. Kürzere Untersuchungszeiten, eine höhere Bildqualität oder eine Kombination aus Zeit und Qualität sind theoretisch möglich, doch ist die KI in der Praxis mehr als eine Spielerei? Wie aufwendig ist










